Inmunohistoquímica
Inmunohistoquímica
Capacitaciones Personalizadas
“De la recuperación antigénica a la visualización en el microscopio”
Descripción
Descripción
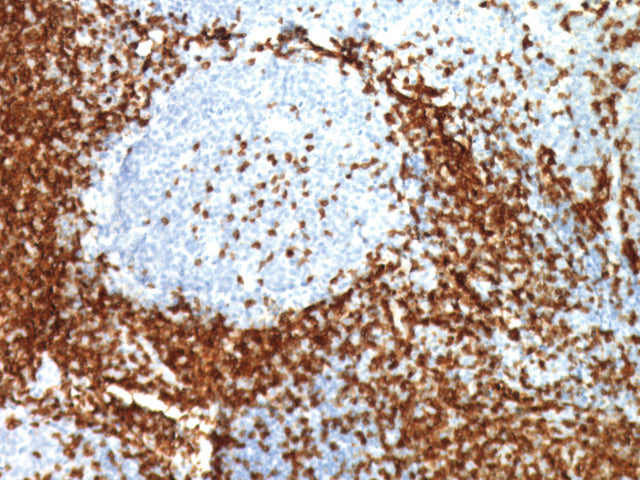
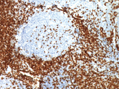
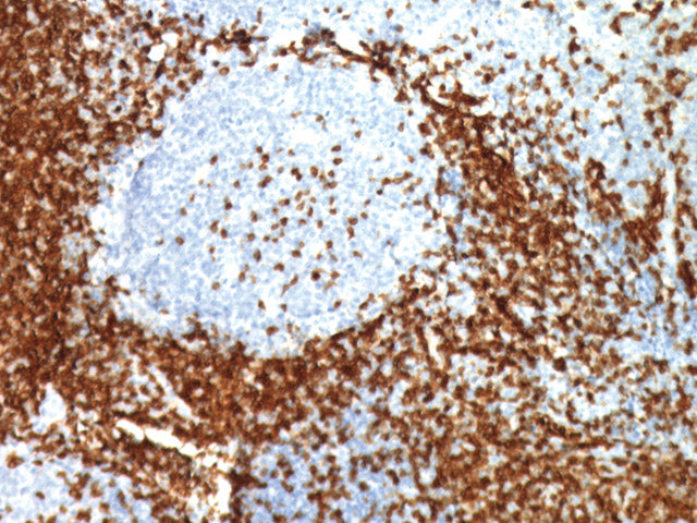
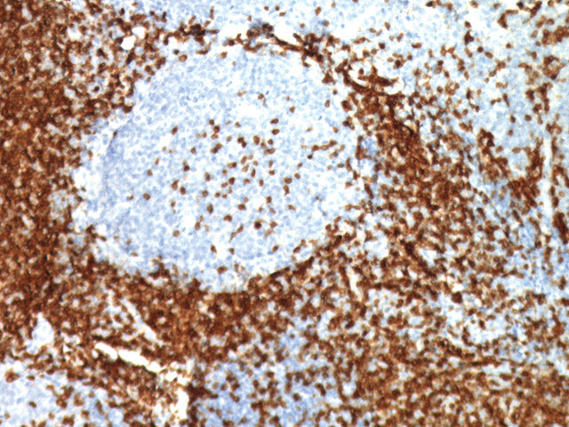
La inmunohistoquímica es una de las técnicas más utilizadas en diagnóstico e investigación biomédica. Sin embargo, dominar cada etapa del proceso es fundamental para obtener resultados confiables y reproducibles. Este taller práctico ofrece una experiencia concentrada y aplicada, utilizando el sistema Biocare Medical MACH 1, reconocido por su alta sensibilidad y rapidez.
Objetivos:
- Comprender los principios básicos de la inmunohistoquímica.
- Ejecutar correctamente la recuperación antigénica, detección y revelado cromogénico.
- Optimizar el uso del sistema MACH 1 de Biocare Medical.
- Interpretar adecuadamente las preparaciones en el microscopio.
Metodología
Metodología
- Demostración práctica paso a paso.
- Ejecución técnica individual supervisada.
- Proyecto final: cada participante presenta su lámina para observación colectiva mediante microscopio con proyección a pantalla.
- Rúbrica de evaluación al finalizar.
Beneficios
Beneficios
- Certificado de participación.
- Guía física de protocolo de Inmunohistoquímica.
- Explicación didáctica bajo microscopio con apoyo visual por medio de pantalla.
- Uso de materiales, equipos y tejidos controles incluidos.
- Instructores con más de 10 años de experiencia.
Materiales y equipos incluidos
Materiales y equipos incluidos
- Láminas con tejido control.
- Kit de detección Biocare Medical MACH 1.
- Cámaras húmedas, coplin y materiales de plástico necesarios.
- Equipo necesario para recuperación antigénica y secado de láminas.
- Mandil y guantes descartables.
- Uso de microscopios.
- Proyector y pantalla para visualización colectiva.




¿Necesita ayuda? Contáctanos.
El costo de nuestra capacitación depende de la cantidad de participantes, así como se detalla a continuación:

-
Coloración Hematoxilina Eosina
Precio habitual S/. 0.00 PENPrecio habitualPrecio unitario / por -
Técnicas Histoquímicas
Precio habitual S/. 0.00 PENPrecio habitualPrecio unitario / por -
Biopsia Intraoperatoria por Congelación
Precio habitual S/. 0.00 PENPrecio habitualPrecio unitario / por -
Inmunohistoquímica
Precio habitual S/. 0.00 PENPrecio habitualPrecio unitario / por